Share this
Nerve transposition for dental implants in Singapore
on June 30, 2016

Dental implant placement depends on the availability of bone. In the case of missing lower molars, bone is usually sufficient but it is complicated by the fact that there is a nerve running through the back of the lower jaw. This nerve, known as the inferior alveolar nerve and commonly referred to as the inferior dental nerve (IDN), provides sensation to the lower lip. When this nerve is located too close to the crest of the edentulous jaw, it leaves very little bone for placemetn of implants. In this situation, the nerve must be moved aside before implants can be placed. This is a procedure commonly known as nerve lateralization or tranposition.
The IDN arises from the lip and enters the lower jaw bone somewhere below the roots of the premolars and travels within a canal inside the jaw towards the back and exit the bone on the throat-side of the jaw and then up the brain. Sensation in the lower jaw and lip is transmitted by this nerve to the brain, giving sensation of touch, pain, hot, cold, pressure, etc. The location of the canal within the jaw bone varies; some run along the lower border of the lower jaw while others are located just below the root tips of the teeth. It is this latter group that poses a problem when teeth are lost and need to be replaced with dental implants.
Most teeth are lost due either to gum disease or tooth decay. Gum disease destroys the bone supporting teeth, leading to loosening of the teeth and eventually to tooth loss. This is a chronic process and along the way, much of the supporting bone would have been lost by the time the tooth is extracted. After extraction, bone will resorb further as the socket heals. This can result in having very thin layer of bone above the nerve available for implant placement. This problem is further aggravated if a removable prosthesis ie a denture is made to replace the missing teeth. A denture sits on the gum over the jaw bone, putting pressure on the bone surface. This causes more resorption of the bone, further reducing the amount of bone above the nerve.
Depending on the actual situation, several solutions are possible:
- Short implants
If there is 7mm of bone available, short implants of 6mm in length can be placed to support a prosthesis replacing all the molars.
- Distraction
Alternatively, distraction osteogenesis can be done to increase the bone height to accommodate longer implants. This is ideal as it reconstruct the lost bone mass. However, it is a time consuming procedure, requiring daily appointments to activate the distractor and a second surgery a few months later before implants can be placed.
- Bone grafting
Bone grafting is also an option but in general, success rate for vertical augmentation by bone grafting is quite low. A longer treatment duration is also needed as the bone graft need to consolidate before the implants can be placed.
4. Nerve transposition
The nerve can be moved aside to allow placement of the implants and then kept away from the implants. This has the advantage of being a one stage procedure; the nerve is moved aside and the implants placed at the same time. This procedure usually involves the use of longer implants engaging the lower border of the lower jaw where the bone quality is good. Restoration of the implants can take place within two months after surgery. The major downside of this procedure is the potential numbness of the nerve caused by manipulating it.
Let’s take a look at a typical case of nerve transposition.


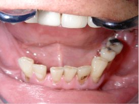
A 60 year old man was referred to me for implant placement to support a fixed prosthesis at the back of the lower jaw. Clinically, it did not appear to have significant resorption vertically. The radiographic picture,however, gave a different picture.

X-rays showed the the IDN is located very near to the crest of the bone. In fact there were only about 4mm of bone above the nerve canal. As such, the other options were not possible. There were no implants shorter than 4mm and even if it existed, chances of success would be low. There was also insufficient bone to do distraction as that would require at least 6mm of bone above the nerve canal so that there is enough bone left on both sides after the split. Bone grafting was also not an option as adding bone mass on the top of the crest would reduce the inter-arch spaced, leaving little room for restoration of the implants with crowns.
After explaining the options including the risks of each, the patient accepted nerve transposition as the treatment of choice, the potential for nerve injury not withstanding.


The surgery was done under general anesthesia. First, gum was raised and separated from the bone. A window on the side of the lower jaw was created, exposing the nerve running inside.


The nerve was then freed from the jaw bone and moved aside. The implants were placed from the top of the crest to the lower border of the lower jaw. A collagen membrane was placed over the bone window to separate the implant from the external environment. Three months later, the crowns were placed on the implants. The patient reported some numbness of the lip in the first few weeks but it had become not noticeable by the time the crowns were done a few months later.
The main concern about nerve transposition is changes that manipulation of the nerve may cause altered sensation in lower lip either in the form of numbness or pain. Studies showed that the risk of altered sensation persisting beyond one year is about 1%. While the risk is low, numbness or persistent pain can be rather morbid and should be avoided where possible. In cases such as this, where the other methods are not possible, the only alternative to nerve transposition is to make do with a removable denture.
Share this
- Jaw Surgery (93)
- Dental Implants Singapore (90)
- Orthognathic Surgery (48)
- Replacing Missing Teeth (26)
- Missing Teeth Options (23)
- Underbite (23)
- Bone Grafting (21)
- Costs (18)
- Facial Aesthetics (18)
- Aesthetics (17)
- dental implants (16)
- corrective jaw surgery (15)
- BOTOX (11)
- Dermal Fillers (11)
- Wisdom teeth (10)
- Fixed Implant Dentures (8)
- Loose Dentures Singapore (6)
- Medisave (6)
- sleep apnea (6)
- Braces (5)
- Dental Pain (5)
- Dentures in Singapore (5)
- Loose Teeth (5)
- Tooth Extraction (5)
- jaw deformities (5)
- bimax (4)
- bone graft (4)
- maxillomandibular advancement (4)
- all-on-4 (3)
- bimaxillary protrusion (3)
- chin implant (3)
- facial asymmetry (3)
- full mouth dental implants (3)
- genioplasty (3)
- immediate implant (3)
- removal of an integrated dental implant (3)
- third molars (3)
- wisdom tooth surgery (3)
- My Dentures Don't Fit (2)
- VME (2)
- bone graft healing (2)
- distraction osteogenesis (2)
- medical tourism (2)
- obstructive sleep apnea (2)
- orthodontics (2)
- plastic surgery (2)
- CT guided dental implants (1)
- Double jaw surgery (1)
- Invisalign (1)
- Periodontal Disease (1)
- Permanent Dentures Singapore (1)
- before and after photos (1)
- facial trauma (1)
- fractured dental implant (1)
- oral appliance therapy (1)
- root canal treatment (1)
- veneers (1)
- vertical maxillary excess (1)
- September 2019 (2)
- July 2019 (2)
- May 2019 (2)
- August 2018 (1)
- October 2017 (1)
- September 2017 (2)
- August 2017 (1)
- June 2017 (2)
- May 2017 (4)
- April 2017 (1)
- March 2017 (1)
- February 2017 (3)
- January 2017 (3)
- December 2016 (1)
- November 2016 (2)
- October 2016 (4)
- September 2016 (9)
- August 2016 (5)
- July 2016 (11)
- June 2016 (14)
- May 2016 (6)
- April 2016 (2)
- March 2016 (1)
- January 2016 (7)
- December 2015 (10)
- November 2015 (4)
- October 2015 (9)
- September 2015 (7)
- August 2015 (1)
- July 2015 (6)
- June 2015 (3)
- May 2015 (7)
- April 2015 (5)
- March 2015 (8)
- January 2015 (5)
- December 2014 (7)
- November 2014 (7)
- October 2014 (6)
- September 2014 (8)
- August 2014 (5)
- July 2014 (7)
- June 2014 (8)
- May 2014 (9)
- April 2014 (10)
- March 2014 (6)
- February 2014 (8)
- January 2014 (3)
Subscribe by email
Email subscription




No Comments Yet
Let us know what you think