Share this
Dental implants in an underbite patient
on July 20, 2019
Rising affluence and awareness among patients in Singapore have led to an increase in demand for specialist procedures such as orthognathic surgery. Underbite deformity, where the lower jaw is disproportionately longer than the upper jaw is possibly the most corrected dentofacial deformity in Singapore today. However, not so a generation ago. Baby boomers, or in the Singapore context, the Merdeka Generation, often did not have the benefit of such services when they were young and many have uncorrected underbite. With advancing age and a lack of proper care in their younger days, total or partial loss of dentition is common. Many seek to replace their missing or decayed teeth with dental implants. In replacing teeth in a patient with an underbite, do we set the teeth in the original cross bite position or do we aim to reconstruct the dentition into an ideal Class I bite?
In my practice, such a situation warrants a thorough discussion. Most patients in such situations do not really know what the possibilities are, much less the pros and cons of various options. In our Asian culture, middle-age people are supposed to be not vain. In fact, vanity is often seen as a weakness. However, the reality is that most people, regardless of age, want to be good looking, whether they admit it or not is another matter. As such, treatment options need to include the whole range including orthognathic surgery to correct the underbite. The ideal treatment plan is one that takes into consideration the patient’s preference after understanding the risk-benefit ratio of each option.
Surgical correction of the underbite is relatively more invasive than dental implant surgery. It requires a general anesthetic and staying in the hospital for a day or two. The postoperative downtime is also longer and the potential for complication such as nerve injury is also higher. However, it offers a chance for the patient to have a more aesthetic facial appearance and the placement of implants in positions that enable the dental prosthesis to achieve optimal function and aesthetics. I will usually do an orthognathic surgical plan complete with simulation of post-operative facial changes to illustrate the effect of such a plan. As with conventional orthognathic surgery, perioperative orthodontic treatment is needed and that is yet another consideration that a patient will need to undertake as orthodontic treatment typically will take one to two years to complete.
In general middle-age patients take a longer time to recover from orthognathic surgery compared with teenagers and young adults. Those who have develop chronic illnesses like high blood pressure and diabetes may also have higher risks of complications with more invasive surgery. Within the milieu of a tertiary referral hospital, I have access to a full range of medical specialist to support the perioperative management of such patients. Nonetheless, while it is possible, it is not ideal.
For those who decide that the benefits do not justify the risks, an alternative plan of camouflaging the skeletal deformity can be formulated. The extent to which the skeletal discrepancy can be camouflaged with dental implants depends on the severity of the discrepancy and which teeth are missing. I will illustrate with a case.
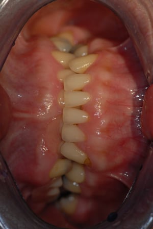
This is a middle age lady seeking to replace her missing teeth with dental implants. She also had a mild underbite. The lower jaw is only mildly longer than the upper jaw.
However, over the years, she had developed a habit of posturing the lower jaw forward and that had resulted in the an underbite that appeared more severe than it really was. As with most skeletal jaw size discrepancies, the teeth compensated naturally. The lower teeth were tilted backwards towards the upper front teeth, in an attempt to maintain contact with the opposing teeth.
There were three options. We can start off with orthodontic decompensation to align the teeth within each jaw. Thereafter, the lower jaw can be surgically repositioned backwards to eliminate the underbite. This is then followed by dental implants to replace the missing teeth. However, the patient was not keen on orthognathic surgery.
Without surgery to correct the underbite, restoration with dental implants can either be conforming to the pre-existing occlusion whereby the jaw is postured forward into a deep underbite. Such a conformative plan is most expedient as it is simply filling up the missing teeth with dental implants that will not change the jaw relations. However, doing so means forgoing the opportunity to achieve an improved Class I occlusion, where the upper teeth overlaps the lower teeth slightly.
A compromise plan was eventually undertaken. Orthodontic treatment was done to open the bite, align the teeth and tilt the upper front teeth out and lower front teeth back to achieve a positive overbite and overjet. By raising the bite, more space is created for placement of implant supported crowns. This increase in vertical dimension also created better facial proportions. Originally, with the lower jaw postured forward, the bite was over-closed, shortening the height of the lower third of the face. Opening up the bite increases the vertical dimension of the lower third giving a more natural proportion. (Due to regulations in Singapore, after photos cannot be included.)
The whole treatment process took about three years to complete, with most of time taken up for orthodontic treatment. At the intial consultation, the patient only wanted to replace her missing teeth. However, with detailed discussion about what facial skeletal discrepancy she has and the options of treatment explained, she opted for one that is fairly complicated and prolonged as that was the plan that addressed her concerns.
Share this
- Jaw Surgery (93)
- Dental Implants Singapore (90)
- Orthognathic Surgery (48)
- Replacing Missing Teeth (26)
- Missing Teeth Options (23)
- Underbite (23)
- Bone Grafting (21)
- Costs (18)
- Facial Aesthetics (18)
- Aesthetics (17)
- dental implants (16)
- corrective jaw surgery (15)
- BOTOX (11)
- Dermal Fillers (11)
- Wisdom teeth (10)
- Fixed Implant Dentures (8)
- Loose Dentures Singapore (6)
- Medisave (6)
- sleep apnea (6)
- Braces (5)
- Dental Pain (5)
- Dentures in Singapore (5)
- Loose Teeth (5)
- Tooth Extraction (5)
- jaw deformities (5)
- bimax (4)
- bone graft (4)
- maxillomandibular advancement (4)
- all-on-4 (3)
- bimaxillary protrusion (3)
- chin implant (3)
- facial asymmetry (3)
- full mouth dental implants (3)
- genioplasty (3)
- immediate implant (3)
- removal of an integrated dental implant (3)
- third molars (3)
- wisdom tooth surgery (3)
- My Dentures Don't Fit (2)
- VME (2)
- bone graft healing (2)
- distraction osteogenesis (2)
- medical tourism (2)
- obstructive sleep apnea (2)
- orthodontics (2)
- plastic surgery (2)
- CT guided dental implants (1)
- Double jaw surgery (1)
- Invisalign (1)
- Periodontal Disease (1)
- Permanent Dentures Singapore (1)
- before and after photos (1)
- facial trauma (1)
- fractured dental implant (1)
- oral appliance therapy (1)
- root canal treatment (1)
- veneers (1)
- vertical maxillary excess (1)
- September 2019 (2)
- July 2019 (2)
- May 2019 (2)
- August 2018 (1)
- October 2017 (1)
- September 2017 (2)
- August 2017 (1)
- June 2017 (2)
- May 2017 (4)
- April 2017 (1)
- March 2017 (1)
- February 2017 (3)
- January 2017 (3)
- December 2016 (1)
- November 2016 (2)
- October 2016 (4)
- September 2016 (9)
- August 2016 (5)
- July 2016 (11)
- June 2016 (14)
- May 2016 (6)
- April 2016 (2)
- March 2016 (1)
- January 2016 (7)
- December 2015 (10)
- November 2015 (4)
- October 2015 (9)
- September 2015 (7)
- August 2015 (1)
- July 2015 (6)
- June 2015 (3)
- May 2015 (7)
- April 2015 (5)
- March 2015 (8)
- January 2015 (5)
- December 2014 (7)
- November 2014 (7)
- October 2014 (6)
- September 2014 (8)
- August 2014 (5)
- July 2014 (7)
- June 2014 (8)
- May 2014 (9)
- April 2014 (10)
- March 2014 (6)
- February 2014 (8)
- January 2014 (3)
Subscribe by email
Email subscription




Comments (3)